La presidenta de la ACFIMAN dijo que la eficacia de los tratamientos se ve cada vez más comprometida por problemas de incumplimiento terapéutico por parte de los pacientes y la aparición de cepas resistentes a los fármacos
Con información de ACFIMAN
Si pensamos en un parásito como una unidad de élite diseñada para la supervivencia extrema, el ADN sería el manual de instrucciones tácticas, mientras que las proteínas serían parte de los guerreros, los escudos y las llaves maestras que le permitirían invadir el cuerpo humano, burlar sus defensas y resistir el ataque de los medicamentos.
Un nuevo estudio publicado en Parasitology International identificó 1825 proteínas presentes en cinco aislados de parásitos vivos de la especie Leishmania donovani, causante de la leishmaniasis visceral, la forma más grave de la enfermedad. Esas proteínas, obtenidas de pacientes que no respondieron al tratamiento, podrían estar asociadas a la expresión de resistencia a fármacos.
“Leishmania, como cualquier ser vivo, busca sobrevivir. Para lograrlo en sus hospederos (nosotros, por ejemplo), usa mecanismos de supervivencia altamente sofisticados”, explicó la doctora Alicia Ponte-Sucre, presidenta de la Academia de Ciencias Físicas, Matemáticas y Naturales de Venezuela (ACFIMAN) y coautora del artículo, publicado recientemente en la revista oficial de la Sociedad Japonesa de Parasitología.
Las proteínas son moléculas complejas que construyen, protegen, transportan y comunican el interior de las células con el ambiente circundante.
Cumplen diferentes funciones y se modifican constantemente según las actividades, la alimentación y el estado de salud del organismo. Cuando se dice que las proteínas “se expresan” significa que han sido “fabricadas”, es decir, pasan a existir físicamente y a cumplir roles vitales.
Al expresarse, las proteínas del parásito que produce la leishmaniasis visceral “tienen el potencial de participar en la infección, evadiendo nuestras defensas y colaborando para que el parásito se haga resistente a los medicamentos y, por lo tanto, los mismos no funcionen, prolongando la enfermedad”, precisó la profesora titular jubilada de la Facultad de Medicina de la Universidad Central de Venezuela (UCV).
El estudio concluye que la resistencia a los fármacos en L. donovani se acompaña de una extensa remodelación proteómica, lo que subraya la necesidad de realizar estudios moleculares exhaustivos para fundamentar nuevas estrategias terapéuticas contra la leishmaniasis, tanto sensible como resistente a los fármacos.
Enfermedad tropical desatendida

Flebótomo o mosca de arena (Cortesía: CDC/Frank Collins)
La leishmaniasis es una enfermedad zoonótica causada por diferentes especies de protozoos del género Leishmania, transmitida por vectores hematófagos (flebótomos, conocidos como jejenes o moscas de arena) y propagada por mamíferos como perros, gatos, zarigüeyas, zorros y roedores, que actúan como reservorios (hospedadores) del parásito. Usualmente, el ser humano se contagia cuando un insecto hembra pica a un animal infectado y luego a una persona.
Se clasifica en tres categorías: cutánea, mucosa/mucocutánea y visceral. La cutánea provoca protuberancias (nódulos) que, con el tiempo, se convierten en úlceras grandes que tardan en sanar y dejan cicatrices de por vida. La mucosa/mucocutánea puede destruir parcial o completamente las membranas mucosas de la nariz y la boca, causando discapacidad grave. La visceral es la forma más grave de la leishmaniasis; se caracteriza por síntomas generales, como fiebre, pérdida de peso e hinchazón abdominal, así como afectación de órganos internos como el bazo y el hígado, siendo mortal en más del 90 % de los casos si no se trata rápidamente.
La leishmaniasis es una de las 10 principales enfermedades tropicales desatendidas, con más de 12 millones de personas infectadas, siendo un importante problema de salud pública en las Américas, África Oriental, África del Norte y Asia Occidental y Sudoriental.
En la región de las Américas, se reportaron 1348 casos de leishmaniasis visceral en 2024, la inmensa mayoría en Brasil (1245) y 3 en Venezuela, de acuerdo con un informe de la Organización Panamericana de la Salud (OPS/OMS) del año 2025.
Solo una opción: quimioterapia
Los autores del estudio, liderado por el Centro Oncológico Integral Dan L. Duncan de Houston (Texas, EE. UU.) y la Facultad de Medicina Homeopática Gubernamental JSPS de Ramanthapur (Hyderabad, India), recordaron que no existe una vacuna eficaz contra la leishmaniasis visceral.
En ese sentido, el tratamiento farmacológico depende exclusivamente de agentes quimioterapéuticos, como antimoniales, miltefosina y anfotericina B. “Sin embargo, la eficacia de estos tratamientos se ve cada vez más comprometida por problemas de incumplimiento terapéutico por parte de los pacientes y la aparición de cepas resistentes a los fármacos”, acotaron.

Lesión causada por la leishmaniosis cutánea (Cortesía: Wikimedia/Abanima)
La doctora Ponte-Sucre profundizó en los inconvenientes de dichos medicamentos. En primer lugar, los antimoniales, diseñados hace más de siete décadas, “son muy tóxicos, de larga duración y dolorosos (inyecciones intramusculares); además, usualmente se administran en lugares apartados, obligando a los pacientes a viajar largas distancias”.
En segundo lugar, la miltefosina, diseñada originalmente contra el cáncer de mama, es menos invasiva (terapia oral), pero está contraindicada para mujeres en edad fértil, ya que puede provocar malformaciones congénitas, anomalías estructurales o funcionales e incluso la muerte del embrión o feto. Por último, la anfotericina-B en su forma liposomal (cápsulas semejantes a la grasa), fue diseñada inicialmente para infecciones micóticas o por hongos y muestra alta eficacia (superior al 90 % en algunas regiones del mundo). No obstante, “es una terapia invasiva que requiere vigilancia médica constante, por lo que el paciente debe estar hospitalizado”, dijo la académica.
Resistencia, ese mal de nunca acabar
La resistencia a los fármacos es inevitable. “Los parásitos tipo Leishmania y los hospederos mamíferos como nosotros tenemos millones de años conviviendo y evolucionando juntos”, señaló la presidenta de la ACFIMAN. Lo que la ciencia puede hacer es ralentizar ese proceso natural. ¿Cómo? Descubriendo las razones por las cuales los parásitos desarrollan resistencia a los tratamientos que antes los eliminaban. En el caso de la leishmaniasis, “el resultado de la enfermedad depende del equilibrio entre la virulencia del parásito y la respuesta inmune del hospedador”, señalaron los científicos en el artículo de Parasitology International.
Los fármacos dejan de funcionar por diferentes motivos, como el abandono del tratamiento (los parásitos más débiles mueren, pero los más fuertes se multiplican y ya no responden al mismo fármaco), su uso innecesario o en dosis incorrectas, entre otras. Pero en esta batalla campal de supervivencia del más apto, los parásitos también luchan: según esta nueva investigación, L. donovani sufre una “remodelación” interna para contrarrestar la embestida química, que consiste en sobreexpresar sus proteínas, es decir, producirlas en cantidades masivas para resguardarse o escapar.
Proteómica al rescate

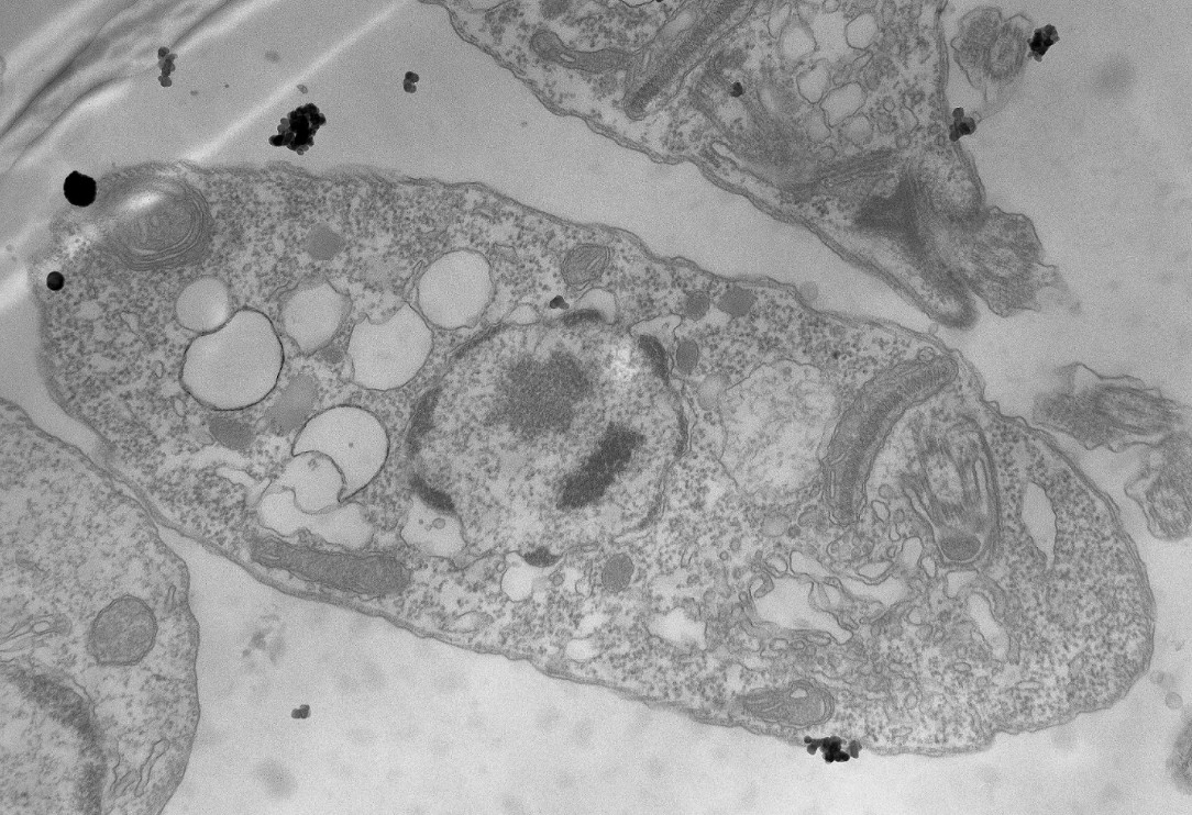
Parásito de Leishmania tratado con el compuesto RV122C (Cortesía: Alicia Ponte-Sucre)
Los autores del estudio emplearon dos enfoques para comprender la resistencia a los fármacos: uno que identifica las proteínas sobreexpresadas de forma exclusiva en cada aislado de L. donovani y otro centrado en las proteínas sobreexpresadas comúnmente en todos los aislados. En total, identificaron 1825 proteínas sobreexpresadas en el parásito. “Nuestros hallazgos revelan que cada aislado clínico resistente a los fármacos posee una huella proteómica única, pero comparte adaptaciones, particularmente en la reprogramación metabólica, la respuesta al estrés y la regulación de la expresión génica”.
El proteoma o conjunto total de proteínas “es un tesoro que hemos podido describir gracias al desarrollo de técnicas de biología y genética molecular, acompañado de la informática”, sostuvo la doctora Ponte-Sucre. “Con la proteómica, podemos ‘preguntarle’ al parásito sobre la estructura y función de sus proteínas”. De las casi dos mil proteínas identificadas, un 20 % no están caracterizadas. “Esto representa una fuente de búsqueda para dianas (blancos) terapéuticas o de sistemas de diagnóstico”.
En el artículo, los expertos reconocieron que la enorme cantidad de datos disponibles hasta ahora, provenientes en gran parte de hallazgos moleculares sobre leishmaniasis, han sido insuficientes para desarrollar alternativas terapéuticas a la quimioterapia. Para la presidenta de la ACFIMAN, la elevada tasa de fracaso obedece a varios factores. “Por ejemplo, los datos de química computacional in silico (mediante software de simulación) que no están acompañados de datos in vitro (de laboratorio) o experimentales (con animales) “pueden generar un ciclo interminable que impida avanzar”.
Triada perfecta
A juicio de la doctora Ponte-Sucre, el gremio científico, por un lado, debe aprender a “escoger los modelos experimentales que den resultados predictivos adecuados y saber cuándo parar si los mismos no son los esperados”. La industria, por el otro, tiene que incluir metodologías de alta complejidad para cumplir una de las misiones más costosas y difíciles de la ciencia moderna: transformar una molécula en un medicamento que se pueda comprar en la farmacia. “Además, es importante que las empresas reconozcan este tipo de enfermedades, aunque afecten a poblaciones que, por su capacidad de ingresos, no sean de su interés financiero, y contribuyan a su control”.
Nada de esto será posible sin la formulación de políticas públicas que prioricen la salud “como un compromiso con la defensa de los derechos humanos de las personas que viven en la pobreza, el hambre y en condiciones precarias que aceleran la aparición de enfermedades transmisibles y multifactoriales como la leishmaniasis”, concluyó la investigadora.
Ante un enemigo tan sofisticado, solo otra unidad de élite ⎼la inteligencia humana armada con herramientas como la proteómica⎼ puede infiltrarse en sus cuarteles, identificar sus puntos débiles y diseñar la estrategia definitiva para derrotarlo. El parásito tiene la fuerza bruta de la evolución, pero los seres humanos tienen la capacidad de descifrar su código y usarlo a su favor.
Referencia:Gurjar, D., Saha, B., Pai, K., Sundar, S., Ponte-Sucre, A., Bodhale, N. y Saha, B. (2026). Comparative proteomic profiling reveals distinct molecular signatures of drug resistance in clinical isolates of Leishmania donovani. Parasitology International, 114, 103267.

