Saltar al contenido
Nosotros
Aliados
Economía social
Educacion
Ambiente
Cultura
Mujer
Ciencia
Universidades
Tecnología e innovación
Salud Pública
Vacunas
Opinión
Noticias
Edición Venezuela
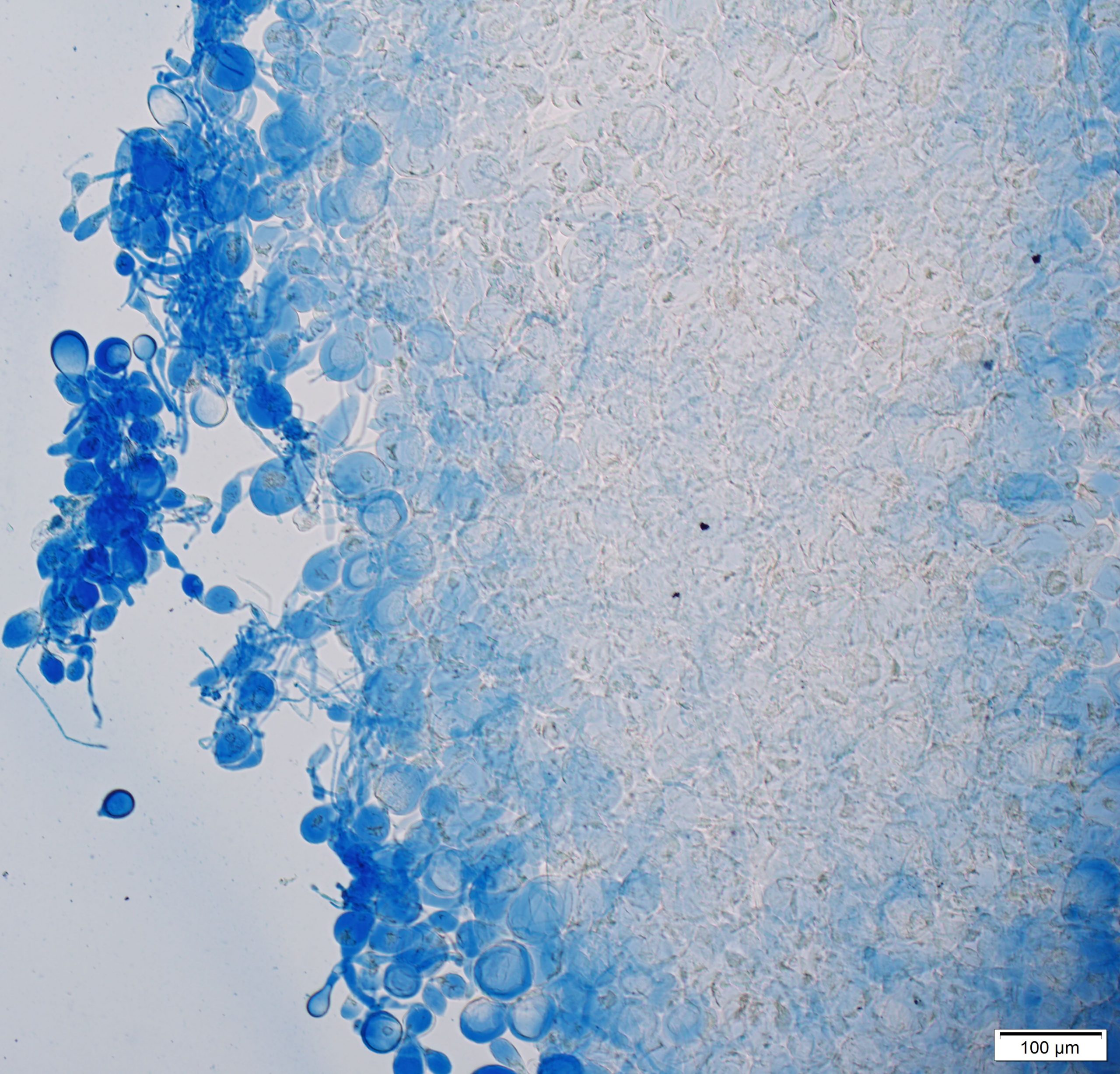
Segundo-lugar-Ana-Raquel-Martinez-Hongo-Simbionte-de-las-Hormigas-cortadoras-de-hojas-de-Panama-Leucoagaricus-gongylophorus-1
Dic 10, 2022
Navegación de entradas
FotoCiencia 2022 ya tiene ganadores
Ultimas noticias
Nefrología
Enfermedad Renal Aguda vs Crónica: ¿cuáles son los síntomas, diferencias, tratamientos y prevención?
Abr 9, 2026
Salud Pública
Panamá ordena cancelar registro sanitario de tres perfumes
Abr 8, 2026
Salud Pública
Minsa refuerza medidas de control por transmisión sostenida de sarampión en las Américas
Abr 8, 2026
Cultura
Kevin Tiboche: la respiración interminable del oboe
Abr 8, 2026