La investigación identifica el gen Prrx1 como regulador del potencial metastásico en el cáncer de mama, un hallazgo fundamental en Oncología
Por: IN-CSIC-UMH Comunicación
Identificar qué células de un tumor formarán metástasis es uno de los grandes retos en oncología. Un estudio del Instituto de Neurociencias (IN), centro mixto del Consejo Superior de Investigaciones Científicas (CSIC) y la Universidad Miguel Hernández de Elche (UMH), revela que estas células pueden identificarse ya en el tumor primario.
A partir de un modelo de ratón y datos de pacientes, el trabajo publicado en Nature Communications muestra una población de células en el borde invasivo del tumor capaz de invadir y dividirse o de entrar en letargo. El gen Prrx1 es el encargado de regular este equilibrio, que determina la formación de nuevos focos tumorales en otros órganos, las temidas metástasis.
Este nuevo estudio desarrollado por el laboratorio de Plasticidad Celular en Desarrollo y Enfermedad, dirigido por Ángela Nieto, demuestra que la capacidad metastática no surge por azar ni depende únicamente del microambiente del órgano de destino.
Por el contrario, el potencial metastásico ya está determinado en un conjunto de células presentes en el tumor que origina el cáncer. Estas células adoptan un estado altamente metastásico coordinado por un factor clave: el gen Prrx1.
Según explica Raúl Jiménez Castaño, primer autor del estudio, el gen Prrx1 actúa como un auténtico regulador maestro del comportamiento tumoral: “Recientemente descubrimos que Prrx1 era crucial para la diseminación del cáncer y, gracias a este trabajo, ahora sabemos que no solo activa los programas que permiten a las células desprenderse del tumor primario, sino que también controla su capacidad de dividirse y formar metástasis o, por el contrario, entrar en un estado de letargo que puede durar años”.
“Lo más llamativo es que la cantidad de Prrx1 determina el efecto sobre las células cancerosas”, añade Nieto. Este hallazgo ayuda a explicar una paradoja observada en muchos tumores: las células muy invasivas no siempre generan metástasis, y las más proliferativas tampoco suelen diseminarse.
“Sin Prrx1, las células no se diseminan; con niveles muy altos, se diseminan masivamente, pero pierden la capacidad de anidar y crecer en otros órganos. Sólo cuando presentan niveles intermedios alcanzan un equilibrio óptimo entre movilidad y crecimiento” explica la experta. En esas condiciones, las células combinan invasión y división celular, lo que las convierte en las más peligrosas desde el punto de vista clínico.
En busca de un pronóstico preciso
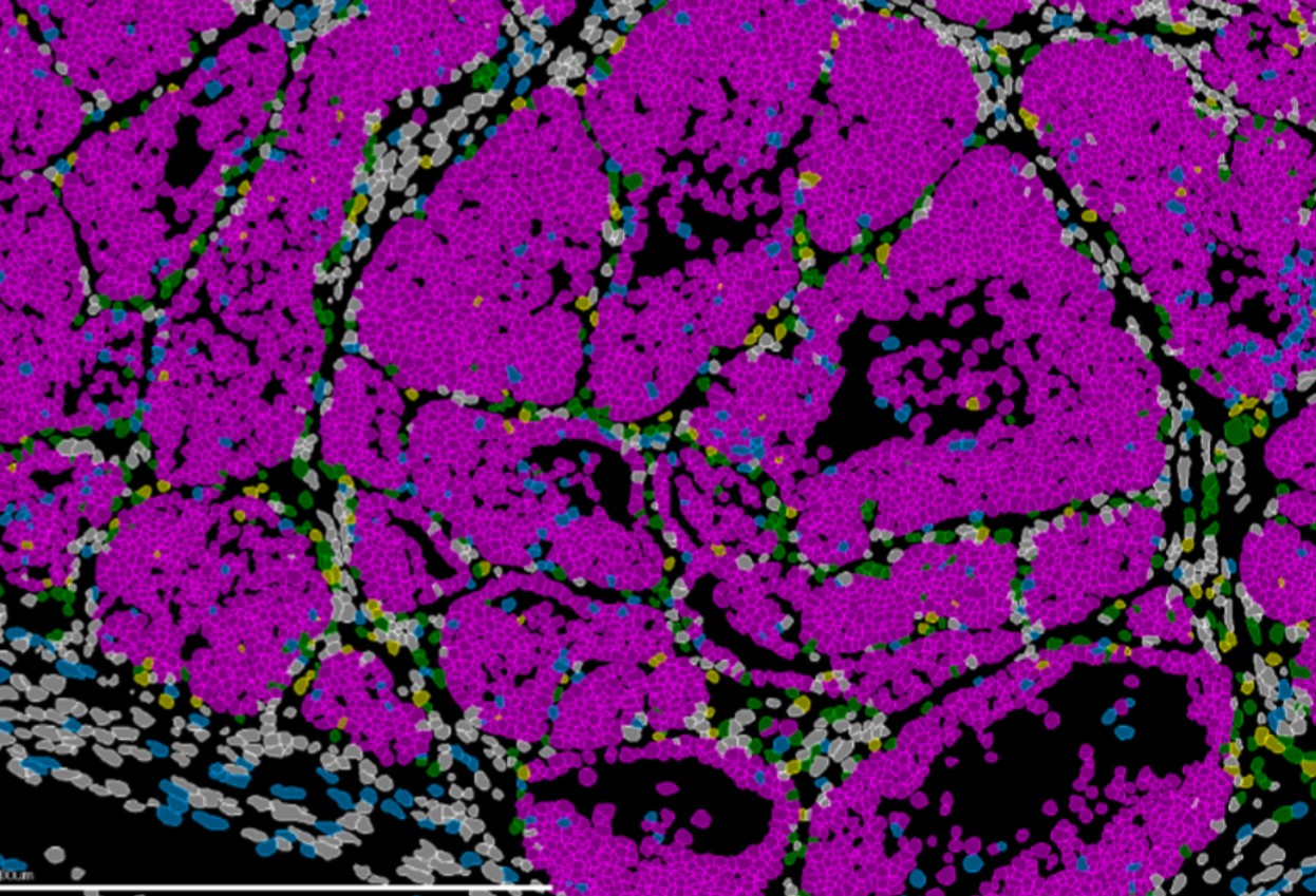
Para llegar a estas conclusiones, el equipo combinó modelos genéticos en ratón, análisis de célula única, estudios de cromatina y técnicas de transcriptómica espacial que permiten observar la organización y el comportamiento de las células directamente en el tejido tumoral. El procesamiento y análisis de los datos generados a partir de miles de células estuvo liderado por el experto en bioinformática del equipo de Nieto, el investigador Nitin Narwade.
Además, en colaboración con la catedrática Gema Moreno Bueno, de la Universidad Autónoma de Madrid y la Fundación MD Anderson Cancer Center España, los investigadores analizaron muestras de pacientes con cáncer de mama y detectaron patrones similares de expresión de Prrx1, lo que sugiere que el mecanismo descrito podría tener una relevancia directa en la clasificación y el pronóstico clínico.
En conjunto, los resultados aportan una nueva perspectiva sobre el origen del potencial metastático y abren la puerta al desarrollo de estrategias destinadas a impedir que las células tumorales alcancen ese estado particularmente peligroso. Asimismo, proporcionan un marco para mejorar la clasificación de pacientes mediante la identificación de marcadores capaces de predecir el riesgo de metástasis.
Este trabajo ha sido posible gracias a la financiación de la Agencia Estatal de Investigación – Ministerio de Ciencia, Innovación y Universidades, el Programa Severo Ochoa para Centros de Excelencia, la Asociación Española Contra el Cáncer (AECC), el Programa Prometeo de la Generalitat Valenciana y el Programa Momentum del CSIC.
Por: IN-CSIC-UMH Comunicación

